Teeth Whitening
Our advanced whitening treatments are designed to restore the natural brilliance of your teeth, leaving you with a radiant and dazzling smile!
Using the latest technology and safe, effective whitening agents, Sara tailors each treatment to suit your individual needs and preferences. Whether you're looking to erase years of staining from coffee, tea, or tobacco, or simply enhance your smile's natural sparkle, we have the solution for you.
Say goodbye to dull, discolored teeth and hello to a brighter, more vibrant smile. With our teeth whitening service, you can achieve the smile of your dreams in just one visit. Rediscover your confidence and show off your pearly whites with pride. Schedule your appointment today and let us help you unlock your smile's full potential.
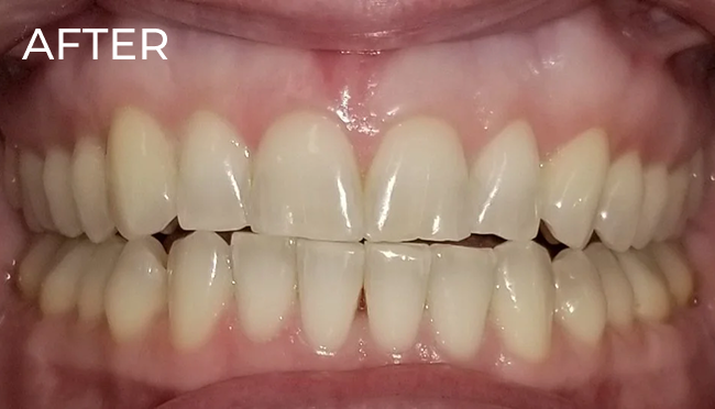
Teeth Whitening Results
How does it work?
This incredible system removes most stains with a gentle LED light source that whitens your teeth. As the active ingredients in the gel used (carbamide and hydrogen peroxide) are broken down, heat, oxygen and light act upon the stained organic deposits, which oxidizes them into a whiter color. This process makes the overall tooth color closer to its natural unstained color while your tooth structure remains unchanged.
The blue/red LED light emits a cold blue light that accelerate the process of oxidization and a soft red light which helps with inflammation and pain (properties found in LED light therapy) in addition to simultaneously reducing the amount of negative bacteria, which is why they are so safe. The light cannot burn the skin or gums. The wavelength is typically in the range of 465 nanometers. This wavelength activates the peroxide, accelerating the process to provide you with the quickest results possible. With the use of this specially combined LED light, we see less then 1% of the population experience any sensitivity!
We use a blended gel of Hydrogen peroxide and Carbamide Peroxide to help minimize tooth sensitivity during the whitening process. Hydrogen Peroxide (H2O2) is faster-acting than Carbamide Peroxide (Urea) but fast isn’t always the best choice. Though fast acting formulas are exciting, they oxidize the tooth enamel rapidly, so only a thin layer of the outer surface can be treated before potential for sensitivity. This “shallow whitening” can be perfect for a special occasion but may not last long. Carbamide Peroxide is slower acting with about a third of the oxidizing power of H2O2 but is made stronger by a synergistic effect with the Hydrogen Peroxide molecules. Because it acts more slowly, it has time to penetrate deeper into the enamel with less chance of sensitivity for longer lasting whitening results.
The blended gel is a perfect concoction derived from both peroxides to deliver the best of both worlds, Fast Acting AND Long -lasting BRIGHT WHITE results with minimal risk of sensitivity!
Reiki Practitioner / Reflexologist / TMJ Therapist / Access Bars Practitioners Practitioner / Trauma-Informed Thai Yoga Therapist
Sara Folk
As a Registered Dental Professional for over 13 years, Sara saw numerous patients presenting with severe TMJ that was not being alleviated through conventional therapies. This awareness propelled her to learn and specialize in TMJ therapy, helping alleviate pain & headache issues in the jaw joint and surrounding muscles in the head, face, neck and chest caused by stress, clenching/grinding, or trauma. Sara’s goal is to accomplish true pain relief, relaxation and rejuvenation in an inclusive, safe, caring & nurturing space.
In addition to TMJ Therapy, Sara discovered first-hand what the powers of Reiki and Access Bars have done to help bring balance to her body, mind and spirit. This experience led her to become a Reiki and Access Bars Practitioner in 2018, studying under Dave Nelson at “Reiki Infinite Healer” learning the traditional methods of Master Mikao Usui, the founder and pioneer of Reiki. She is working towards her Reiki mastery level 3 to be able to teach others one day about how to tap into this incredible modality. Sara truly believes that working with the energy at a more intimate level can optimize one’s healing.
Sara has also expanded her knowledge in Reflexology and holds certification and registration through the NHPC for this natural, holistic therapy. She took her training through Reflexology Experience in Calgary under Erica Weiland and blends this treatment into her unique sessions to support the entire body system on many levels or can be offered as it's own therapy session.
Among these modalities Sara also holds the title of teeth whitening technician! Working in the dental field for over 15 years, Sara has expanded knowledge and taken many continued education courses around maintaining a healthy, beautiful smile. She has taken the most up to date courses on best practices and products to offer you the top of the line whitening systems to brighten your smile!
